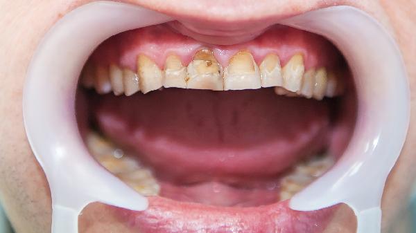
氟斑牙是怎样的呢?它是出于牙齿钙化期引用含氟量超编的水引起的牙齿损害。氟斑牙的危害有哪些呢?冷光美白牙齿才能诊治氟斑牙。什么是氟斑牙?氟斑牙又称斑釉牙,是色素牙的一种,一般呈黄色。这是一种与饮用水中氟含量过高有关的牙齿疾病,假如儿童在七、八岁前牙齿发育钙化期饮用含氟量过高的水,则可能危害牙胚的造釉细胞,从而引起釉质发育不全。冷光美白牙齿诊治氟斑牙,冷光美白牙齿是一种非常有效的牙齿美白。

冷光美白牙齿产品中的主要漂白成分过氧化氢是健康有效的牙齿美白元素,此种特殊的美白成分和添加剂与纳米技能的结合,能够恢复牙齿逐渐失去的光泽,让牙齿变得洁白亮丽,并且对牙齿釉质和组织不会造成损害,针对一般外因性变色牙,如咖啡、茶渍、烟渍沉积,可乐等有色饮料沾染,药物性变色牙、遗传性黄牙,以及轻度四环素牙和氟斑牙都有良好的结果。氟斑牙的危害
1、摩擦的耐受性差,但对酸蚀的抵抗力强。
2、氟牙症一般均见于恒牙,但如氟摄取量太多,超过其筛除功效的限度时,也能不规则地表现在乳牙上。
3、在同一期间萌出的釉质上有白垩色到褐色的斑块,重要者还并发有釉质的实质缺损。临床上常按其轻、中、重度而分为白垩型轻度、着色型中度和缺损型重度三种类型。
4、重要的慢性氟中毒者,可有骨骼的增殖性变化,骨膜、韧带等均可钙化,并从而出现腰、腿和周身关节症状。急性中毒症状为恶心、呕吐、腹泻等。出于血钙与氟结合,造成不溶性的氟化钙,引起肌痉挛、虚脱和呼吸困难,以致死亡。

整形专家友情提醒您:变美确实很重要,但是由于目前美容整形行业良莠不齐,某些机构的医用设备的也许会存在一定的安全隐患,或者清理方面也可能不到位从而影响您的手术结果,为了您的安全和诊治结果,一定要去正规的整形医院才能哦,因为现在网络上的骗子确实有点多,虚假整容信息也是形形色色都有,千万不可去小诊所进行手术哦。
2025-08-25
2025-08-25
2025-08-25
2025-08-25
2025-08-25
2025-08-25
2025-08-24
2025-08-24
2025-08-24
2025-08-24